心内外科
内科
手术室
外科
五官科
妇产科
急诊科
康复科
体检科
科室介绍
设备介绍
医生介绍
体检套餐
健康宣教
贵阳白云心血管病医院
个人中心
搜索
贵阳白云心血管病医院
文章详情
副标题
心肌病怎样诊断?你想知道的这里都有哦!
2025-11-14
心肌病
心肌病通常指单纯由于心肌组织发生原发性病变,导致心脏功能异常的一组心脏病。
多数没有明确的病因,临床和血流动力学表现等有一定的特征性,诊断时须排除冠心病、高血压性心脏病、先心病、瓣膜病和心包疾病等各种心脏病。
超声心动图在心肌病诊断的应用*为广泛,以下做一小结(图 1 )。
图 1 世界卫生组织和国际心脏病学会联合会 1995 年心肌病分类
图片来源:参考文献
一、 扩张型心肌病 (DCM)
扩张型心肌病是一种原发的由心肌功能障碍引起的疾病,特点是在没有异常负荷状态或没有导致心肌收缩力下降的缺血因素存在的前提下,左心室或双心室扩大、收缩功能障碍,进而出现进行性加重的顽固性充血性心力衰竭和各种心律失常,血栓栓塞及猝死,预后极差。
诊断标准
超声心动图检查是诊断 DCM 的首选影像学技术,诊断时需要排除引起心肌损害的其他疾病。
临床常用诊断标准
① 左心室舒张期末内径 (LVEDd)>5.0 cm (女性)和 >5.5cm (男性)或经体表面积校正的 LVEDd>2.7cm/m
2
;
② 左心室射血分数 (LVEF)<45% 和/或左心室短轴缩短速率 (LVFS)<25% ;
③ 除外高血压、瓣膜病、先天性心脏病和缺血性心脏病等。
超声心动图表现
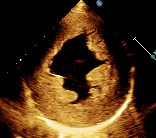
主要表现为心腔扩大,以左心扩大为主或全心扩大;左室球形变(图 2 ),室壁运动幅度弥漫性减低,相对室壁薄,瓣口开放幅度小,呈经典的「 大心腔、小开口 」改变。
房室腔内可出现一个或多个附壁血栓,常见于左心室近心尖部;心肌收缩及舒张功能受损,左心室充盈压升高,心房和心室内的血流速度缓慢,心腔内彩色血流颜色暗淡;心腔扩大可导致二尖瓣或三尖瓣环相对扩大,造成瓣膜相对性关闭不全,瓣口出现收缩期反流。
图 2 四腔心切面显示,左室呈球形扩大
二、 肥厚型心肌病 (HCM)
HCM 是一类*常见的单基因常染色体显性遗传性心肌病,以不明原因的心肌肥厚为主要特征,需排除负荷增加如高血压、主动脉瓣狭窄等引起的左心室壁增厚。
组织病理学改变具有一定的特异性,特点为心肌细胞肥大、排列紊乱以及纤维化,编码肌小节蛋白的基因突变是引起 HCM 的主要原因。
1. 诊断标准
1.1 成人
应用任何一种检查手段检测到左心室 ≥1 个节段室壁厚度 ≥15 mm ,并且排除继发性原因即可诊断;
而有些疾病可表现出左室肥厚 (13~14 mm) ,这种情况下,诊断 HCM 需要结合其他临床资料,如家族史、基因学检查、心血管系统之外的症状体征、心电图、实验室检查以及其他影像学检查。
1.2 儿童
左室厚度超过同年龄、性别或体质指数儿童左室厚度平均值 +2 倍标准差。HCM 患者的一级亲属:任何心脏影像学检查检测发现无其他已知原因的左室壁 ≥1 个节段厚度 ≥13 mm ,即可确诊。
2. 超声心动图改变
HCM 患者超声心动图声像图主要表现以心肌肥厚为特征,伴或不伴有左室流出道或心室腔内梗阻及二尖瓣反流。
2.1 心脏结构改变
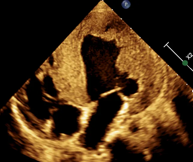
① 左室 ≥1 个节段室壁厚度 ≥15mm (图 3 ,图 4 ),有家族史者,厚度 ≥13mm (注意测量选择舒张末期,短轴切面测量心肌厚度**;
② 心腔变小,严重者心腔可成闭塞样改变,部分患者左室流出道内径减小,左房增大;
③ 伴有心功能不全时心腔可扩张;
④ 心肌回声不均匀,呈斑点样回声增粗、增强;
⑤ 二尖瓣前叶收缩期前向移动,即 SAM 征。
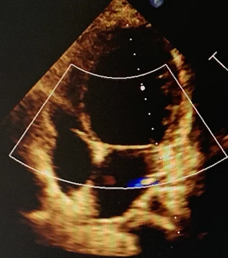
2.2 心室腔内梗阻特点
① CDFI 显示收缩期左室流出道内出现五彩血流, CW 测量**压力阶差(LVOTG)≥30mmHg ,认为存在左室流出道梗阻;
② 梗阻性 HCM 多合并二尖瓣反流, HCM 患者可同时存在二尖瓣脱垂;
③ 静息时,收缩期左室流出道 CW 表现为收缩期负向高速充填状射流,峰值后移,形态呈单峰「 匕首状 」;
④ 左心室舒张功能障碍。
2.3 负荷超声心动图检查
负荷试验激发后, HCM 患者 LVOTG≥30 mmHg、肺动脉收缩压增加、 E/e' 增加、出现二尖瓣反流或出现左室节段性室壁运动异常等均为阳性指标。
2.4 心脏功能改变
舒张功能异常为主,早期可出现局部心肌亚临床收缩功能异常。
2.5 心腔声学造影
心腔声学造影能区别常规超声心动图不能清晰分辨的肌小梁结构等,在辅助诊断与鉴别诊断 HCM 、尤其在排除心尖 HCM 方面有重要价值。
3. 鉴别诊断
一般高血压造成左室肥厚多是对称性的,室间隔与左心室游离壁的厚度比 <1.3 ,而大多数 HCM 患者心肌肥厚是非对称性的,室间隔与左心室游离壁的厚度比 >1.5 。
图 3 心尖四腔心切面可探及左室壁明显增厚,*厚处约 21mm
图 4 大动脉短轴切面显示左室壁增厚,*厚处约 21mm
三、 限制型心肌病(RCM)
RCM 是一类以限制性充盈障碍为主要改变的心肌疾病总称, RCM 病理生理学特点为心肌及心内膜增厚、纤维化、心肌僵硬,临床上多发现多器官病变,但却无自身免疫性疾病的证据。
有心肌肥厚、心室限制性充盈、心电图低电压等心脏受损的改变,极易误诊为缩窄性心包炎(图 5 )。RCM 目前无公认的影像学诊断标准,确诊依赖于心内膜心肌活检。
超声心动图表现
双心房扩大、心内膜增厚,回声增强、左室腔容积正常或减小、收缩功能减低、舒张功能减低、房室瓣反流及频谱异常、心腔内可见附壁血栓,亦可出现心包积液、肺静脉及下腔静脉扩张等表现。
图 5 限制性心肌病和缩窄性心包炎不同点小结
四、 致心律失常性心肌病
致心律失常性心肌病(图 6 )特点为脂肪和纤维替代心肌细胞而引起心室结构和功能异常,临床多累及右心室,也可双心室受累,患者多伴有心律失常。
心肌纤维脂肪化也是发生室性心律失常与心脏性猝死的原因。
右室扩大、右室壁变薄、右室壁运动异常、室壁瘤形成以及右心功能障碍是致心律失常性右室心肌病的典型超声心动图改变。
超声心动图对致心律失常性心肌病诊断的敏感性、特异性都不高。CT 和 MRI 具有较高的分辨率,是目前理想的无创性检查手段,可以显示心肌脂肪浸肌小梁稀薄化以及右室室壁齿状表现等特征性改变。
图 6 超声示右室明显增大,右室游离壁变薄, MRI 示右室游离壁变薄,心肌纤维化(箭头)
图片来源:参考文献
五、 左室心肌致密化不全
心肌致密化不全是心内膜胚胎发育异常所导致的先天性畸形,具有家族性发病倾向。
其病理特征为心室内存在异常粗大的肌小梁和交错的深隐窝,左室心肌存在致密化和非致密化两层,以心尖部和左室游离壁中部*为多见。
诊断标准
*常用的是 Jenni 标准:
① 典型的两层不同 的心肌结构,外层即致密化层较薄,内层即非致密化层较厚,肌小梁之间可见深陷隐窝。
超声心动图诊断标准为心室收缩末期非致密化层与致密化层比值 >2(图7),幼儿为>1.4 ;
② 病变区域主要位于心尖部、侧室和下壁;
③ CDFI 可测及深陷隐窝内有血流灌注并与心腔交通,而不与冠状动脉相通;
④ 排除其他心脏畸形。
非特征性超声心动图表现包括:心脏扩大,心功能下降,局部室壁运动幅度减低,少数患者在病变区域心腔内可发现附壁血栓。
图 7 病变累及节段心内膜面非致密心肌层增厚,回声增强,近心外膜面致密心
肌变薄,比值约 3:1
六、 应激性心肌病( Tako-Tsubo 心肌病)
应激性心肌病,又称 Tako-Tsubo 心肌病、短暂性左室心尖球状扩张,是以急性可逆性左心室功能不全为主要表现的疾病,可由心理或生理刺激诱发,多见于欧洲和北美白种人,在我国并不常见,常见于绝经期女性。
其临床症状与急性冠状动脉综合征非常相似,极易被误诊。
特点为短暂的左心室心尖和(或)心室中段收缩功能障碍,心尖部呈气球样隆起,心底部运动增强,整体形态与章鱼相似并以此得名,冠状动脉造影显示无阻塞性冠状动脉疾病。
患者可表现突发「 心绞痛样
」
胸痛,广泛 T 波倒置甚至ST段抬高,以及心肌酶轻度升高。左心室功能通常在数日或几周后恢复正常,罕有复发者。
分享
发表评论
登录评论
匿名评论
提交
提交
电话咨询
医院介绍
医疗团队
联系我们